土岐市の歯科・歯医者

〒509-5132 岐阜県土岐市泉町大富224-11

JR中央線「土岐市駅」より徒歩13分、車3分

診療時間
9:00~12:00
13:30~18:00

(休診日:木曜・日曜・祝日)

※祝日がある週の木曜は診療日です

土岐市で歯医者なら
水野歯科医院

土岐市駅から車で3分の水野歯科医院は、管理栄養士保育士が常駐し、医科歯科連携でお口から全身の健康をトータルにサポート致します。

お子さまから大人(高齢者)の方までご家族揃って幅広く対応できる歯医者です。駐車場は10台完備。

精密な歯の神経の治療、痛みの少ない虫歯・歯周病治療、入れ歯、歯列矯正、美しいセラミック治療をご提供します。

当院のつの特徴

FEATURE

痛みの少ない治療を行っています

私どもは、痛みの少ない歯科治療をご提供しています。

虫歯の治療では、麻酔注射の痛みを軽減するためにさまざまな工夫をしています。歯ぐきへの表面麻酔、極細の針の使用、そしてゆっくりと時間をかけて丁寧に行う麻酔液の注入。きちんと麻酔が効いたのを確認してから治療を開始します。

歯周病には内服薬を用いた歯周内科治療にも取り組んでおり、お薬を服用して歯ぐきの炎症を改善した後に歯石をとるなど、痛みを最小限に抑えて治療を進めます。

最新の設備・機器を導入

精密かつ高度な治療をご提供したいと考え、最新の医療機器・設備を導入している点も、当院の大きな特徴です。

例えば、歯科用CTやセファロを使用して従来よりも詳細な診断を行い、その上で治療計画を立案しています。

また、詰め物・被せ物の治療の精度を向上させるセレックシステムを導入。さらに、マイクロスコープを使用した微細な治療、負担の少ない治療にも対応しています。

管理栄養士・保育士常駐
お子さまからご高齢の方まで通えます

お子さまからご高齢の方まで通える歯医者として、「ご家族のかかりつけ歯科医」になる…それが私どものモットーです。患者さまには、生涯にわたってご自身の歯を大切にしていただきたいと願っています。

当院には管理栄養士が常駐しており、予防歯科や歯周病治療を通して歯の健康を守っていくだけでなく、「食べること」からお口と全身の健康を守るサポートをさせて頂きます。

歯を失ってしまった場合でも、快適に使える入れ歯のご提供のほか、インプラント治療にも対応。お気軽にご相談ください。

技術力を活かしたセラミック治療

白い詰め物・被せ物の品質は、それを製作する歯科技工士の技術力に左右されやすいのが実状です。技術力の差によって、色や形がお口に合わない場合も出てきます。

そこで当院は、信頼と技術力のある、審美歯科治療が得意な歯科技工所と提携しています。

なお、定期的なお口のメインテナンスを受けてくださっている患者さまには、セラミック治療に対して5年間の保証をご用意。自費診療は治療費が高額になるケースもありますが、こうした保証があればご安心いただけるのではないでしょうか。

診療のご案内

INFORMATION

痛みを抑えながら、極力歯を削らない治療と、精度の高い歯の神経の治療を心がけています。

詳細な検査を行った上で、痛みの少ない治療を行っています。

お顔全体のバランスを考え、一層美しい口元を目指す治療をご提供します。

お子さまも大人の方も、治療経験の豊富な歯科医師のもとで矯正治療を受けられます。

お子さまの発育を利用した、体に優しい歯並び・噛み合わせの治療をご提供しています。

治療経験が豊富な院長が、技術のある歯科技工士とともに、お口にフィットしやすい入れ歯をお作りします。

歯を失ってしまった場合に、きちんと噛めるお口を取り戻すための治療を行います。

白く美しい歯で、自信の持てる笑顔を手に入れるお手伝いをいたします。

患者さまの将来を見据え、歯を「守る」ための予防ケアをご提供いたします。

一般的な保険診療より成功率の高い米国式の精密根管治療をご提供しています。

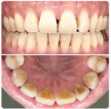
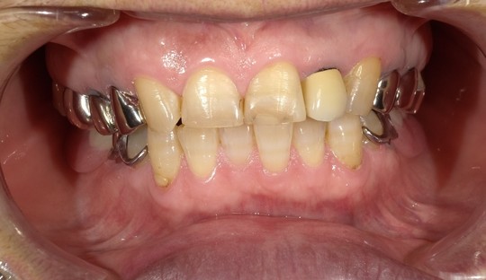
症例集

CASE

水野歯科医院で治療したさまざまなケースを掲載しております

前歯の審美修復

臼歯の審美修復

歯の着色、ステイン除去

理事長ごあいさつ

GREETING

理事長 水野 尚徳

こんにちは。水野歯科医院、理事長の水野 尚徳(みずの ひさのり)と申します。

当院は土岐市の歯医者です。常に患者さまを第一に考える歯科医院として1974年に開院し、50年(※)が経過しました。父の代から50年(※)にわたって通い続けてくださる患者さまもいらっしゃいます。
また、土岐市のみならず、多治見・瑞浪・中津川・恵那・可児などの岐阜県各地のほか愛知県、三重県、長野県など、多方面からご来院いただいており、地域の皆さまのお口を健康にするべく力を尽くせていることに、日々幸せを噛み締めています。

2013年には医院を全面改装し、リニューアルオープンいたしました。私どもが特に力を注いでいるのは、根管治療(歯の神経の治療)と歯周病治療、そして入れ歯治療です。高水準の医療をご提供するため、最新の医療機器や設備を備えて治療に邁進してまいりました。もちろん、これからも努力を続けていく所存です。

治療に関する不明瞭な部分をなくし、丁寧なご説明を行うように心がけています。お子さまからご高齢の方まで、あらゆる年代の方に対応できる歯科医院です。ご家族のかかりつけ歯科医として、是非どんなことでも気軽にご相談ください。

※2024年現在

トピックス

TOPICS

徹底した感染対策を行っています

私どもは、厳しい施設基準を満たした歯科医院として「口腔管理体制強化加算」と「歯科外来診療医療安全対策加算1」、「歯科外来診療環境体制加算」の全てを届け出済みです。これらは、院内感染対策を十分に行い、安全かつ適切な診療のための設備を備えた歯科医院が行える届け出です。

患者さまに快適に治療を受けていただけるよう、きちんと環境を整えています。

使い捨てにできる治療器具は使い捨てに

院内感染は主に、治療に用いる器具が細菌に汚染されていることが原因で起こります。感染リスクを可能な限り抑えられるように、当院ではグローブ・エプロン・コップなど、使い捨てにできる器具をすべて使い捨てにしています。

治療器具は十分に滅菌

使い捨てにできない器具は、ヨーロッパ最高基準をクリアした「クラスB滅菌器」を使ってしっかり滅菌しています。歯を削る機械であるハンドピースも、患者さまごとに1本ずつ滅菌して使用します。

クリーンな院内環境を維持

院内の空気を清浄に保てるよう配慮し、ウイルスや細菌を死滅させる「医療用空気清浄機」を設置しました。併せて、治療中にお口の外へ飛び散る歯の削りカス・血液・唾液などを吸引する「口腔外バキューム」も使用。清潔な環境を維持していますので、受診の際もきっとご安心いただけるでしょう。

誰もがご不安を抱えながら通院なさっているかと思います。そうしたご不安を、少しでも解消してもらえたらと願い、私どもは徹底した感染対策を行っています。

詳細は、リンク先のページをご覧ください。

コラム・お知らせ

COLUMN&NEWS
2026/1/10
新規患者さまの受入を再開いたしました。Webからご予約いただけます。

2025/9/8
当院の入れ歯専門サイトが公開されました。是非ご覧ください。
https://ireba-mizunodc.jp/


パソコン|モバイル
ページトップに戻る