土岐市の歯科・歯医者

〒509-5132 岐阜県土岐市泉町大富224-11

JR中央線「土岐市駅」より徒歩13分、車3分

診療時間
9:00~12:00
13:30~18:00

(休診日:木曜・日曜・祝日)

※祝日がある週の木曜は診療日です

症例集

症例集 CASE

岐阜県土岐市 水野歯科医院で行った歯科治療の症例集です。
さまざまなお口のお悩み、症状に対応しております。

ホワイトニング

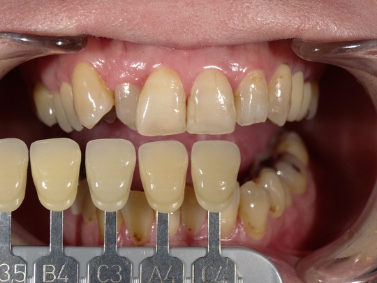
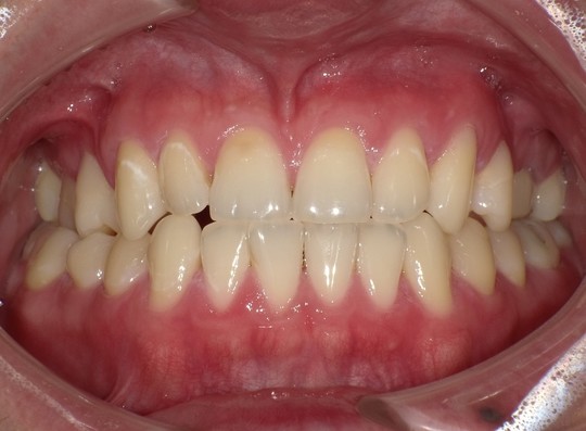
ホームホワイトニング

BEFORE
AFTER

年齢:20代男性

治療内容:歯の着色汚れを気にされておりました。マウスピースを作成し、専用のホワイトニングジェルを使って徐々に歯を白くしていきます。

治療期間/通院回数:3回

費用:ホームホワイトニング 33,000円

リスク・副作用

①必ずしもご希望通りの白さにならない場合があります。
②歯に痛み、違和感などが出ることがあります。


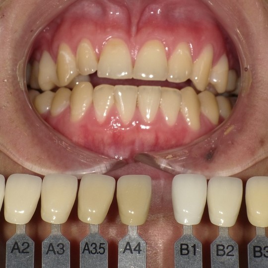
オフィスホワイトニング

BEFORE
AFTER

年齢:女性

治療内容:高濃度のホワイトニング剤とLEDライトを併用し、短時間で歯を白くします。

治療期間/通院回数:1回

費用: オフィスホワイトニング 33,000円

リスク・副作用

①必ずしもご希望通りの白さにならない場合があります。
②歯に痛み、違和感などが出ることがあります。


パソコン|モバイル
ページトップに戻る