土岐市の歯科・歯医者

〒509-5132 岐阜県土岐市泉町大富224-11

JR中央線「土岐市駅」より徒歩13分、車3分

診療時間
9:00~12:00
13:30~18:00

(休診日:木曜・日曜・祝日)

※祝日がある週の木曜は診療日です

症例集

症例集 CASE

岐阜県土岐市 水野歯科医院で行った歯科治療の症例集です。
さまざまなお口のお悩み、症状に対応しております。

小児矯正

0期治療 プレオルソ

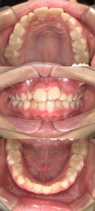
BEFORE
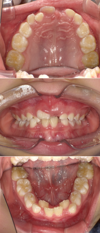
AFTER

年齢:9歳 女の子

主訴/治療内容:

お子様の歯並びが気になり、他院様でプレオルソの治療を開始したが、改善する見込みがなくご相談に来られました。現在まだ経過観察途中ですが、当院でプレオルソ治療を開始して9ヵ月でこれだけ歯並びが改善されました。装置は寝ている間に装着するだけです。早期に治療を開始することで、将来的な矯正を未然に防ぎ、経済的負担・治療の負担を大幅に軽減することが可能になります。同様のケースで少しでも気になっていらっしゃいましたら、是非お気軽にご相談ください。

治療期間/通院回数:プレオルソ装着9ヵ月 経過観察途中

費用: 精密検査・診断料 71,500円  0期治療 55,000円

リスク・副作用

毎日の装着を怠ると良好な結果が得られません。夜寝る時に装置を付けておく必要があります。生涯の歯並びを保証するものではありません。


パソコン|モバイル
ページトップに戻る