土岐市の歯科・歯医者

〒509-5132 岐阜県土岐市泉町大富224-11

JR中央線「土岐市駅」より徒歩13分、車3分

診療時間
9:00~12:00
13:30~18:00

(休診日:木曜・日曜・祝日)

※祝日がある週の木曜は診療日です

症例集

症例集 CASE

岐阜県土岐市 水野歯科医院で行った歯科治療の症例集です。
さまざまなお口のお悩み、症状に対応しております。

その他の治療

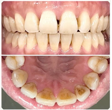
ステイン除去

BEFORE
AFTER

年齢:40代女性

治療内容:エアーフローによる歯の着色汚れ、ステイン除去

治療期間/通院回数:1回

費用: ステインコース 8,800円

リスク・副作用

①効果には個人差があり、着色汚れによっては一度に取りきれない場合があります。
施術後数時間以内に、着色効果の強いもの(コーヒー・紅茶・喫煙など)を摂取すると、歯に色素沈着が起こる可能性があります。
パウダーの刺激により歯ぐきから出血する可能性があります(痛みはほとんどありません)。


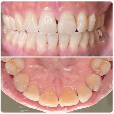
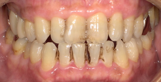
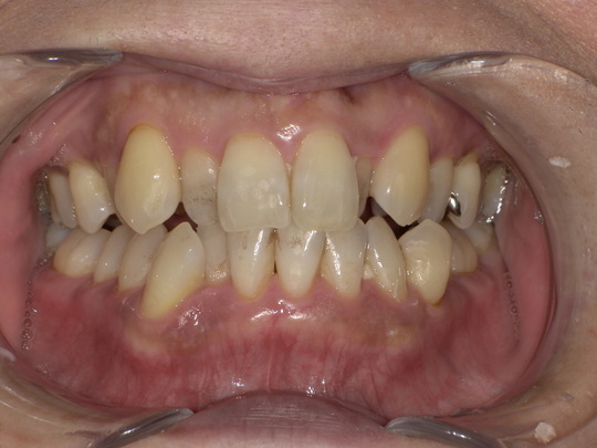
ステイン除去

BEFORE
AFTER

年齢:70代男性

治療内容:エアーフローによる歯の着色汚れ、ステイン除去

治療期間/通院回数:1回

費用: ステインコース 8,800円

リスク・副作用

①効果には個人差があり、着色汚れによっては一度に取りきれない場合があります。
施術後数時間以内に、着色効果の強いもの(コーヒー・紅茶・喫煙など)を摂取すると、歯に色素沈着が起こる可能性があります。
パウダーの刺激により歯ぐきから出血する可能性があります(痛みはほとんどありません)。


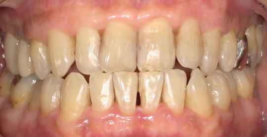
ステイン除去

BEFORE
AFTER

年齢:60代女性

治療内容:エアーフローによる歯の着色汚れ、ステイン除去

治療期間/通院回数:1回

費用: ステインコース 8,800円

リスク・副作用

①効果には個人差があり、着色汚れによっては一度に取りきれない場合があります。
施術後数時間以内に、着色効果の強いもの(コーヒー・紅茶・喫煙など)を摂取すると、歯に色素沈着が起こる可能性があります。
パウダーの刺激により歯ぐきから出血する可能性があります(痛みはほとんどありません)。


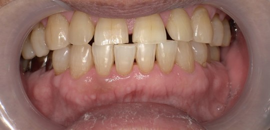
ステイン除去

BEFORE
AFTER

年齢:70代男性

治療内容:エアーフローによる歯の着色汚れ、ステイン除去

治療期間/通院回数:1回

費用: ステインコース 8,800円

リスク・副作用

①効果には個人差があり、着色汚れによっては一度に取りきれない場合があります。
施術後数時間以内に、着色効果の強いもの(コーヒー・紅茶・喫煙など)を摂取すると、歯に色素沈着が起こる可能性があります。
パウダーの刺激により歯ぐきから出血する可能性があります(痛みはほとんどありません)。


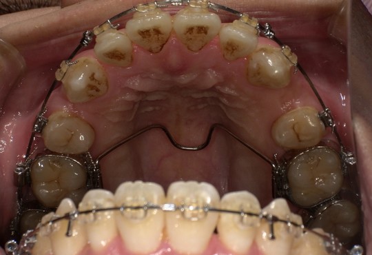
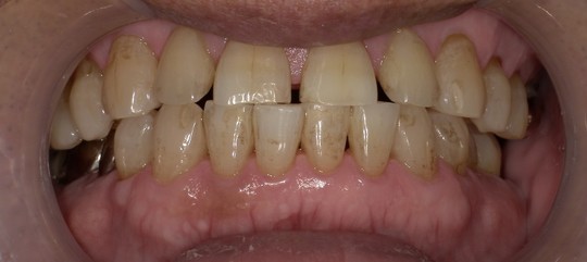
ステイン除去

BEFORE
AFTER

年齢:20代男性

治療内容:エアーフローによる歯の着色汚れ、ステイン除去

治療期間/通院回数:1回

費用: ステインコース 8,800円

リスク・副作用

①効果には個人差があり、着色汚れによっては一度に取りきれない場合があります。
施術後数時間以内に、着色効果の強いもの(コーヒー・紅茶・喫煙など)を摂取すると、歯に色素沈着が起こる可能性があります。
パウダーの刺激により歯ぐきから出血する可能性があります(痛みはほとんどありません)。

パソコン|モバイル
ページトップに戻る