土岐市の歯科・歯医者

〒509-5132 岐阜県土岐市泉町大富224-11

JR中央線「土岐市駅」より徒歩13分、車3分

診療時間
9:00~12:00
13:30~18:00

(休診日:木曜・日曜・祝日)

※祝日がある週の木曜は診療日です

症例集

症例集 CASE

岐阜県土岐市 水野歯科医院で行った歯科治療の症例集です。
さまざまなお口のお悩み、症状に対応しております。

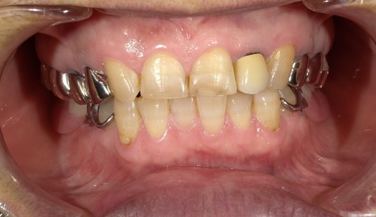
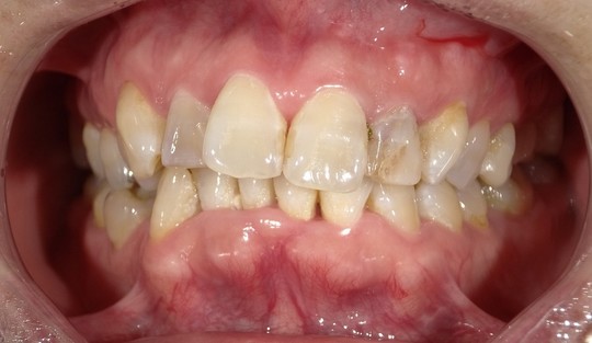
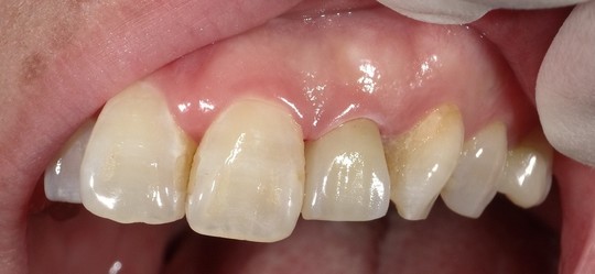
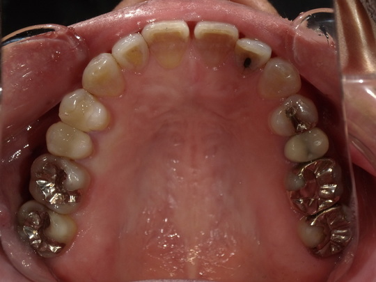
セラミック治療

ジルコニアクラウン

BEFORE
AFTER

年齢:70代女性

治療内容:向かって右上の真ん中から2番目の歯で、保険の修復物の不適合を主訴でいらっしゃいました。

治療期間/通院回数:4回

費用:コア 17,600円 

   ジルコニアクラウン 194,500円 

   合計 212,100円 ※2025年7月現在の価格

リスク・副作用

①治療後、痛みや違和感、出血、腫れ、麻痺などが出る事があります。
②強い衝撃を与えると、被せ物が欠けたり割れたり、外れたりする事があります。
③必ずしもご希望通りの見た目にならない事があります。
④治療に際して、根の治療が必要になる場合があります。
⑤根の治療を行った場合、腫脹や出血、痛みなどを生じる事があります。
⑥被せ物をかぶせた後に根の病気が再発した場合、被せ物を外さなければならない事があります。(外した被せ物の再利用は多くの場合、出来ません)
⑦麻酔を行った場合、腫れやむくみを生じる事があります。


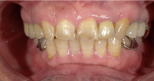
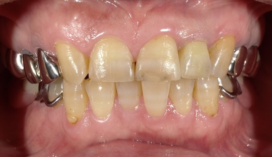
e.max クラウン

BEFORE
AFTER

年齢:70代女性

治療内容:奥歯の銀歯が気になるという主訴で、右上中央から3,4,5番目をe.maxにより修復

治療期間/通院回数:3回

費用: e.max クラウン 110,000円x3本 ※2025年7月現在の価格

リスク・副作用

強い力をかけると割れる(欠ける)可能性があります。
土台となるご自身の歯を削る必要があります(削る量は材質や個人差によります)。
歯の状態によっては神経の治療が必要になる場合があります。
治療時に出血を伴う可能性があります。


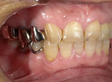
セレックインレー

BEFORE
AFTER

年齢:50代女性

治療内容:左上真ん中から5番目の銀歯をセレックで即日、白い歯に修復

治療期間/通院回数:1回

費用: セレックインレー 48,400円

リスク・副作用

①深い虫歯や神経に近い処置をした場合は、歯の痛みや知覚過敏が起こることがあります。
②強い衝撃を与えると、被せ物が欠けたり割れたり、外れたりする事があります。


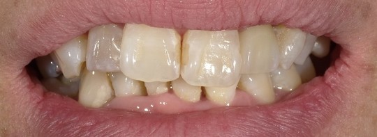
e.max クラウン

BEFORE
AFTER
AFTER

年齢:50代女性

治療内容:左上真ん中から2番目の歯で、他院様での修復物不適合で見た目を気にされてご相談を受けました。e.maxクラウンの審美修復で、ご自身の歯に近い自然で美しい見た目に仕上がりました。

治療期間/通院回数:3回

費用: e.max クラウン 110,000円 ※2025年7月現在の価格

リスク・副作用

強い力をかけると割れる(欠ける)可能性があります。
土台となるご自身の歯を削る必要があります(削る量は材質や個人差によります)。
歯の状態によっては神経の治療が必要になる場合があります。
治療時に出血を伴う可能性があります。


パソコン|モバイル
ページトップに戻る